“医生,我的卵泡长得好不好?”
“医生,我下次什么时候再来监测卵泡?”
“医生,我的卵泡什么时候会排呀?”
这是备孕妈妈最关心的几个问题,那今天我们就来聊一聊关于卵泡的小秘密。
卵巢是生命的起源,卵泡的“银行”,而且银行里存款还是有限的,女性一生中一般只有400-500个卵泡发育成熟并排卵。

养大一个卵子需要耗费太多的精力和时间,卵巢妈妈精力有限,所以每个月一般只有一个卵子可以发育成熟。
卵子成熟后就要走出家门,寻找真命精子了,当卵子顺利地从卵泡中排出后,就迈出了人生的第一步。

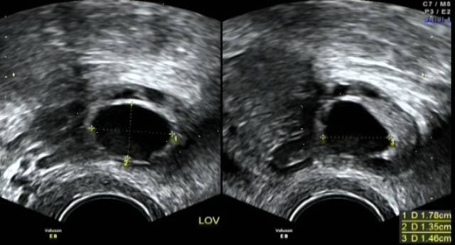
(卵泡发育过程)
卵子排出后存活时间小于24小时,可见抓住这一时机去受孕多么重要。
为了提高受孕的几率,我们需要知道自己排卵的时间,平时简单的测量基础体温太麻烦还影响睡眠,排卵试纸又不能准确测到排卵时卵泡的大小。
而B超是目前较为准确的一种排卵监测方式,它不仅可以测出两侧卵巢中是否有优势卵泡,同时还能测出优势卵泡的大小、子宫内膜的厚度等。

卵泡监测要特别注意连续性,要持续监测到确认排卵或卵泡异常等情况出现。玛珂迩卵泡监测套餐,完整周期持续监测(不限次数),超声医生会根据实际情况安排监测次数。
B超监测,通过动态观察卵泡超声图像的变化,准确地预测排卵,进而指导同房时间,大大增加受孕的几率。

(在舒适的环境下轻松把握最佳受孕时间)
玛珂迩助力轻松孕育,玛珂迩特别推出夏日限定回馈季,王牌单项福利史无前例,卵泡监测套餐800